تهران ، فلکه دوم صادقیه ،ابتدای بلوار فردوس شرق ، بین کوچه زمانی و احمدی ، پلاک ۵۵ - طبقه ۳
۰۲۱-۴۴۰۰۸۰۲۰
کلینیک دندانپزشکی شبانه روزی
دندانپزشکی زیبایی
لمینت دندان
کامپوزیت دندان
بلیچینگ دندان
ارتودنسی دندان
خدمات درمانی
عصب کشی دندان
اندو (درمان ریشه دندان)
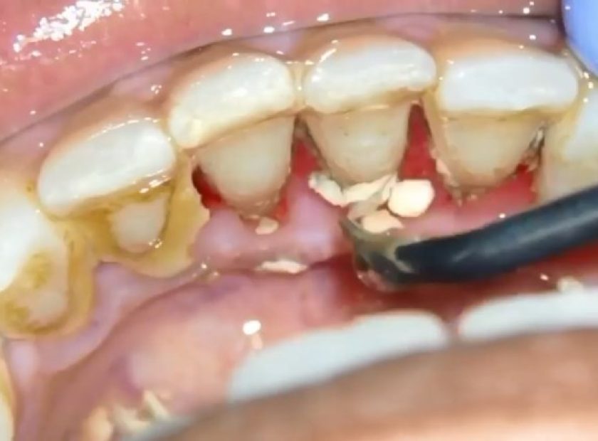
جرم گیری دندان
ترمیم دندان
دندان مصنوعی
روکش دندان
کشیدن دندان
کشیدن دندان عقل
خدمات جراحی
ایمپلنت دندان
جراحی لثه
جراحی دندان
دندانپزشکی اطفال و کودکان
تماس با ما
دسته بندی ها: مقاله
فواید جرم گیری دندان چیست؟
آیا جرمگیری دندان درد دارد؟ +10 روش کم کردن درد جرمگیری
+10 عوارض کامپوزیت دندان + راه های مراقبت و پیشگیری
درد و ورم صورت بعد از ایمپلنت دندان مراقبت های بعد + علت و درمان فوری
فرق جرمگیری لثه با جرمگیری دندان چیست؟ [روش و ابزارها]
بهترین رنگ روکش دندان
قلیان کشیدن بعد از کامپوزیت دندان
روکش دندان فوری
1
2
3
4
…
13
تماس جهت مشاوره رایگان
021-44008020