
فواید جرم گیری دندان چیست؟
اگر به مشکلات دندان دچار باشید، شاید پزشک جرم گیری را به عنوان یکی از روش ها برای درمان شما در نظر بگیرد. فواید جرم گیری دندان سبب شده است عده زیادی برای انجام آن اقدام کنند، اما در سوی دیگر باید با معایبش هم آشنا باشند. این آثار مخرب برای یک سری از افراد بیشتر است و به همین خاطر باید اطلاعات دقیقی از وضعیت سلامت دندان های خود داشته باشند.
ما در این مطلب به فواید و مضرات جرم گیری دندان و نقش آن برای سلامت دندان اشاره خواهیم کرد. بنابراین این مطلب می تواند اطلاعات جامعی پیش از رفتن برای جرم گیری در اختیار شما قرار دهد. همچنین نکاتی که لازم است پیش از مراجعه برای جرم گیری بدانید، در این جا آورده شده است. برای کسب اطلاعات بیشتر د ر مورد هزینه های جرم گیری میتوانید با مشاورین مجرب دندانپزسکی شبانه روزی لبخند درمان بصورت ۲۴ ساعته در ارتباط باشید.
جرم دندان یعنی چه؟
طبیعتا جرمگیری زمانی نیاز است که دندان افراد را جرم فرا گرفته باشد. منظور از جرم، لایه های رسوبی روی دندان ها و لثه ها است که از معایب آن باید به بوی بسیار بد اشاره کرد. البته شدت این بو گاهی اوقات کم و زیاد می شود، اما به طور کلی آزار دهنده است. این جرم اگر بیشتر شود، سلامت انسان را به خطر می اندازد. بنابراین باید چاره ای برایش اندیشیده شود.
جرم دهان به مرور زمان سبب پوسیدگی دندان ها و مشکلات دیگر می شود. مصرف بیش از حد نوشیدنی های قندی دارای رنگدانه مانند نوشابه ها، آن هم در صورتی که بهداشت به درستی رعایت نشود، بروز جرم ها را در پی دارد. بزاق های دهانی هم از آن جایی که املاح زیادی ترشح می کنند، قادر به نفوذ به دندان ها و درون لثه هستند. برخی از این املاح دارای میکروب های دهانی هستند و پلاک و جرم زیادی را به وجود می آورند.
خوشبختانه با پیشرفت فناوری در سال های اخیر، روش های نوینی برای از بین بردن جرم ها ابداع شده است که جرم گیری از موثرترین آن ها به شمار می رود.

جرم گیری دندان چیست؟
حال که جرم دندان ها را بیشتر شناختیم، بهتر است ببینیم مراحل جرم گیری به چه صورت خواهد بود. بیماری های لثه مانند التهاب یا بیماری پریودنتال سبب درد و عوارض دیگر دهان می شوند. افراد در چنین شرایطی به جرم گیری دندان نیاز دارند. مثلا اگر لثه هایتان هنگام مسواک زدن شروع به خون ریزی می کند، بیماری های مربوط به لثه دارید.
التهاب لثه از سری بیماری های برگشت پذیر است. بیماری های برگشت پذیر در صورت عدم درمان به موقع، قطعا عواقبی جدی برای انسان خواهند داشت. روش های فراوانی به منظور جلوگیری از التهاب لثه وجود دارد که برای نمونه می توان محدود کردن قند را نام برد. به حداقل رساندن مصرف دخانیات یکی دیگر از روش هایی است که کمک رسان بیماران خواهد بود. ضمنا بهره بردن از نخ دندان، مسواک دو یا سه بار در روز و تعویض مسواک هر سه ماه یک بار از موارد دیگری است که نباید فراموش شود.
حتی به افرادی که بیمار نیستند پیشنهاد می شود سالی دو بار به دندان پزشک مراجعه کنند تا با تهیه عکس، وضعیت خود را بررسی نمایند. پس اگر از این وضعیت غافل شوید، بیماری های پریودنتال خطراتی از جمله سستی و لقی دندان ها را به بار خواهند آورد. جرم گیری می تواند جرم ها و پلاک های دندان را به طور کلی از بین ببرد. این روش برای پیشگیری از بروز بیماری های دهان هم موثر است.
چه زمانی جرم گیری کنیم؟
به این سوال کاربران که چه زمانی باید جرم گیری انجام شود، تا حدودی در بالا پاسخ داده شد. با این حال، نیاز است بیشتر به این مورد پرداخته شود؛ زیرا پیدا کردن زمان مناسب برای پیشگیری یا از بین بردن جرم ها حیاتی است. همه افراد در زندگی خود به مشکلاتی مانند تجمع بیش از حد پلاک ها، باکتری ها و پروتئین ها دچار می شوند.
قند یکی از قاتلان اصلی دندان ها است که در غذاها و نوشیدنی های زیادی یافت می شود. بنابراین زمانی که چنین علائمی را در خود دیدید، باید تصمیماتی جدی برای رفتن به دندان پزشکی و حتی جرم گیری بگیرید. اگر دندان های شما سالم باشد، بافت لثه ها و دندان ها بسیار محکم بوده و اجازه دخالت و نشست زیاد پلاک ها را نمی دهد.
در غیر این صورت، این جرم ها بسیار بیشتر شده و بوی بدی تولید می کند. جرم گیری برای پلاک ها و جرم های نشسته شده روی دندان که 3 میلی متر یا کمتر باشد، احتمالا توسط پزشک تجویز نشود. حال اگر این جرم بیش از این مقدار باشد، قطعا تاثیر جرم گیری دندان را خواهید دید.
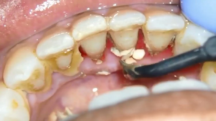
نحوه انجام جرم گیری دندان
با توجه به تنوع در جرم گیری دندان، روش های انجام آن هم با هم فرق دارد. به طور کلی جرم گیری به دو صورت دستی و دستگاهی انجام می شود و انتخاب یکی از آن ها توسط دندان پزشک به وضعیت دندان هایتان بستگی دارد.
جرم گیری دستی
این روش که با نام جرم گیری سطحی هم شناخته می شود، قدیمی تر از روش دستگاهی است. دندان پزشک در این جا تنها با ابزار خود و بدون دخالت دستگاه برای جرم گیری اقدام می کند. این روش تنها برای افرادی مناسب است که پلاک کمی روی دندان های خود دارند. در شرایطی که این پلاک بیش از حد باشد، دیگر با ابزارهای ابتدایی نمی توان آن ها را حذف کرد و شیوه دستگاهی توصیه می شود.
جرم گیری با دستگاه
تنوع دستگاه ها در روش جرم گیری با دستگاه ممکن است زیاد باشد و این بستگی به کلینیکی دارد که به آن مراجعه می کنید. معمولا این ابزارها از نوع اولتراسونیک هستند. دندان پزشک پیش از استفاده از آن ها به سراغ اسپری آب می رود. جرم گیری با این روش هم به صورت تک به تک صورت می گیرد و پلاک ها کاملا منظم و سر صبر برداشته می شوند.
البته مدت زمان جرم گیری به روش دستگاهی معمولا کوتاه تر از دستی است و بیماران را کلافه نمی کند. همان طور که می دانید، باز ماندن دهان برای مدتی طولانی حس بدی به بیمار می دهد و به همین خاطر آن ها به دنبال سریع ترین روش هستند. استفاده از اسپری آب سرد بعد از جرم زدایی هم نقشی موثر ایفا می کند. این کار باعث رفتن تمام جرم ها از دهان بیمار خواهد شد.
روش های جرم گیری دندان
عملیات جرم گیری دندان نسبت به بسیاری از روش های دیگر با پیچیدگی هایی همراه است و بیمار نیازمند شناخت آن ها خواهد بود. حذف دقیق باکتری های پلاک روی سطح دندان به روشی اصولی، هدفی است که دندان پزشکان با جرم گیری دنبال می کنند و از مزایای جرم گیری دندان نیز هست. در صورت استفاده از روش دستی، دندان پزشک جرم گیری را با ابزار فلزی خود انجام می دهد. این قطعه بسیار نازک است و زیر لثه قرار می گیرد. در واقع بخش هایی که شاید بیمار دسترسی راحتی به آن ها نداشته باشد، توسط این روش برداشته می شود.
جدا از آن، استفاده از شیوه دستگاهی با استفاده از ابزار اولتراسونیک صورت می گیرد. این دستگاه شامل یک نوک فلزی ارتعاشی با اسپری آب خنک است تا چنین عملیاتی به صورت کامل تمام شود. این روش با نام روت پلنینگ هم شناخته می شود که برای رسیدگی و تمیز کردن ریشه های عمیق دندان ها است. این روش در واقع همان پوسته پوسته شدن است که سطح ریشه را کاملا صاف کرده تا لثه ها به یکدیگر بچسبند.

جرم گیری دندان خوبه یا بد؟
خیلی از کاربران این سوال را دارند که جرمگیری دندان خوبه یا بد؟ نمی توان پاسخ دقیقی به این سوال داد؛ زیرا برای هر فردی متفاوت است و آثار متنوعی را به بار می آورد. همه چیز در این خصوص به نظر پزشک مربوط است. گاهی دیده شده است افراد بعد از جرم گیری به نتیجه لازم نرسیده اند و این پلاک ها پس از مدتی دوباره ایجاد می شوند. حال آن که مشکل عده زیادی با این کار کاملا برطرف شده است.
همچنین جنس دندان و لثه ها برای این عملیات، اطلاعات مهمی را در اختیار دندان پزشکان قرار می دهد. بنابراین مشورت کردن با دندان پزشک های متخصص، کمک زیادی به بیمار می کند. با مقایسه مزایا و معایب موجود در جرم گیری هم می توانید بهترین تصمیم را برای سلامت دهان خود بگیرید. در بخش های بعدی شما را با فواید جرمگیری دندان و مضرات آن آشنا خواهیم کرد.
فواید جرم گیری دندان
بهره بردن از جرم گیری به هر دو روش شامل دستی و دستگاهی، فواید جرم گیری دندان را بیش از پیش مهم می کنند که عبارت هستند از:
پیشگیری از پوسیده شدن دندان ها و ایجاد حفره ها
بیماران به دلایل متنوعی به دندان پزشکی مراجعه می کنند و پوسیدگی و ایجاد حفره یکی از آن ها است. دلیل این حفره ها، ایجاد پلاک ها در قسمت خارجی دندان ها یا همان مینای دندان است که به مرور باعث خرابی هر چه بیشتر دندان ها می شود. با این که مسواک زدن و کشیدن نخ دندان می تواند موجب جلوگیری از این پلاک ها شود، اما گاهی کار از کار می گذرد. پلاک هرگز نباید برای مدتی طولانی روی دندان ها باقی بماند.
دندان پزشکان در صورت مراجعه بیماران برای این مورد، وضعیت ماندگاری پلاک ها روی دندان ها را بررسی می کنند. سپس تصمیم با آن ها است که جرم گیری برای شما انجام شود یا خیر. پس جلوگیری از پوسیدگی به عنوان یکی از مهم ترین فواید جرم گیری دندان شناخته می شود.
از بین رفتن لکه های دندان ها
یکی دیگر از بیماری های شایع دهان، لکه های دندانی است که متاسفانه در صورت رعایت نکردن نکات بهداشتی گریبان گیر افراد می شود. وقتی پلاک ها زیر لثه جمع و زیاد شوند، بعد از مدتی شاهد چنین لکه هایی خواهیم بود. راه هایی همچون مسواک و نخ دندان خطر ابتلا به لکه های دندانی را کاهش می دهد. حال اگر پیشروی آن بیش از اندازه باشد، شاید فرد مجبور به جرم گیری دندان شود.
جلوگیری از بیماری های لثه
بیماری های لثه به نوبه خود متنوع هستند و برخی از آن ها دردهای بیشتری را به دنبال دارند. دلیل آن را باید جمع شدن مواد زیر لثه عنوان کرد که گاهی به خود دندان ها هم نفوذ می کنند. پس جرم گیری دندان ها برای لثه ها نیز مفید واقع می شود. جرم گیری مقدار پلاک ها را کمتر کرده و احتمال از بین رفتن دندان ها را کاهش می دهد.
صرفه جویی در هزینه و زمان
در بالا به این موضوع که جرم گیری به نسبت بسیاری از روش های دیگر کوتاه تر است، اشاره شد و توسط کارشناسان این حوزه تایید می شود. خوشبختانه جرم گیری به روش دستگاهی زمان زیادی از شما نمی گیرد. جدا از آن، هزینه های جرم گیری معمولا کمتر از آب در می آید.
متاسفانه برخی روش های با وجود تاثیر بالا، تعرفه های به شدت بالایی دارند. از طرفی دیگر، برخی از این شیوه ها هم شما را به چیزی که می خواهید، نمی رسانند. جرم گیری روش آن چنان جدیدی نیست، اما دستگاه های تولید شده برای آن هر چند وقت یک بار بهتر می شوند.
پیشگیری از آسیب شدید و از دست دادن دندان
بیماری پریودنتال در اشخاص زیادی به خصوص سالمندان دیده می شود. رعایت بهداشت دهان در خانه، بهترین راه پیشگیری از این مشکل است. اگر از آن دسته افرادی هستید که دندان هایتان مرتب جرم می گیرند، پزشکان انجام دو بار جرم گیری در سال را توصیه می کنند تا از حوادثی شامل ابتلا به بیماری های لثه، آسیب شدید و از دست دادن دندان ها به دور بمانید.
رفع درد دندان ها
اگر درد دندان را تجربه کرده باشید، حتما می دانید شاید درد جسمی بدتر از آن وجود نداشته باشد. افزایش پلاک ها و میکروب ها روی سطح دندان هم بعد از مدتی درد شدیدی را در دهان افراد به وجود می آورد. خوشبختانه جرم گیری علاوه بر سالم کردن دندان ها، درد را تا حد زیادی کاهش می دهد. گاهی اوقات این درد به صورت تدریجی کم می شود. در این شرایط، دندان پزشکان از بیماران تقاضای صبر دارند.
معایب جرمگیری دندان
فواید جرمگیری دندان در مقایسه با معایب آن بسیار بیشتر است و خیال استفاده کنندگان این روش می تواند راحت باشد. البته در صورت عدم رعایت برخی نکات، ایراداتی در این روش به چشم می خورد که در ادامه آن ها را بررسی خواهیم کرد:
تحلیل لثه ها برای برخی افراد
زمانی که دندان پزشک از روش های درستی برای جرم گیری استفاده نکند، یا به اندازه کافی متخصص نباشد، اشکالاتی مانند عقب رفتن و تحلیل لثه ها پیش می آید. این موضوع به عنوان یکی از مهم ترین معایب جرم گیری دندان ها شناخته می شود. بعد از تحلیل لثه ها، بیمار باید اقدامات بسیار هزینه بری را برای برطرف شدن این مشکل خود انجام دهد. بنابراین حتما پزشکی حاذق را برای این امر انتخاب کنید.
درد و حساسیت
به این قضیه اشاره شد جرم گیری واکنش های مختلفی برای بدن افراد دارد. برای مثال بعضی از آن ها درد و حساسیت زیادی را تحمل می کنند. عوارض جانبی این کار برای یک سری از بیماران زیاد است و باید دوران نقاهتی نسبتا طولانی را طی کنند تا به شرایط عادی بازگردند. معمولا این زمان چیزی بین 5 تا 7 روز به طول می انجامد. اگر این درد و حساسیت بیشتر از این زمان طول کشید، بیمار باید مجدد به دندان پزشکی مراجعه کند.
البته دوران نقاهت هم از جمله مواردی است که در هر فردی تفاوت دارد. برای مثال اگر سیستم ایمنی فرد ضعیف باشد، انجام جرم گیری شاید منجر به عفونت شدید شود. یکی از اقدامات لازم در زمان معاینه توسط دندان پزشک پیش از جرم گیری، بررسی میزان قدرت سیستم ایمنی است. در مواردی نادر، خطر آسیب عصبی در بیماران به چشم می خورد که چندان نباید نگران آن بود.
درد پس از جرم گیری دندان
جرم گیری دندان برای درصد زیادی از بیماران شاید نگران کننده و همراه با درد زیاد باشد. این موضوع برای افرادی که لثه های حساسی دارند، بیشتر دیده می شود. به همین خاطر پزشکان اقداماتی مانند بی حس کردن بافت لثه را انجام می دهند تا با خیالی راحت تر به کار اصلی بپردازند. در شرایط داشتن نگرانی و درد بابت جرم گیری حتما با پزشک خود مشورت کنید. بسته به تعداد دندان های زرد شده و نیازمند جرم گیری، این عملیات در بعضی بیماران حتی چند جلسه هم زمان می برد.
شاید برخی افراد تمام دندان های خود را در معرض پوسیدگی ببینند و نیاز به جرم گیری برای تمام آن ها داشته باشند. معمولا دندان پزشکان در این زمینه، دندان های موجود در دهان را به چهار قسمت تقسیم می کنند و هر بار به یک بخش رسیدگی دارند. پرداختن به تمام دندان ها طی یک جلسه امری محال است و بازدهی لازم را برای دندان ها ندارد.
جمع بندی
این مطلب در مورد فواید جرم گیری دندان بود که امیدواریم از آن برای انجام هر چه بهتر این کار استفاده کرده باشید. با وجود تمام این نکات، همه چیز به صحبت ها و تشخیص پزشکتان بر می گردد. با این حال سبک و سنگین کردن مزایا و معایب جرم گیری نشان می دهد فواید آن بسیار بیشتر است. پس در صورت نیاز، جرمگیری می تواند مشکلات دهان و دندانتان را برطرف کند. کلینیک دندانپزشکی لبخند درمان با در اختیار داشتن کادری مجرب و بروزترین تجهیزات بصورت شبان روزی آماده ارائه خدمات درمانی و دندانپزشکی زیبایی به شما عزیزان میباشد.

