
روش های پر کردن دندان سوراخ شده
حفره و پر کردن شکافها و سوراخهای بین دندانها بهمنظور جلوگیری از پوسیدگی باقیمانده از جسم دندان، تاثیر گذار است. این شکافها و سوراخها عمدتا ناشی از پوسیدگی و مشکلات دندان هستند. این مشکلات میتوانند باعث از بین رفتن مینای بیرونی دندان و عاج داخلی گردند. برای پر کردن این شکافها و سوراخها حتما باید به کلینیک دندانپزشکی معتبری مراجعه کرده و از وقوع مشکلات جلوگیری نمود.
چه عواملی سوراخ و شکاف را بین دندانها ایجاد میکنند؟
وقتی که انواع مواد غذایی حاوی کربوهیدراتهایی نظیر نان، غلات، شیر، نوشیدنیهای گازدار (سودا)، میوه، کیک یا آبنبات بر روی سطح دندان قرار میگیرند، باقایای این مواد تحت تاثیر باکتریهای موجود در دهان تبدیل به اسید میشوند. وجود باکتریها، اسید و مواد غذایی در دهان باعث میشود که این مواد با بزاق دهان ترکیب شده و پلاک دندانی را ایجاد کنند.
پلاکی که در نتیجه این ترکیبات شکل میگیرد، به دندانها چسبیده و مینای دندان را حل کرده و در نتیجه باعث ایجاد شکافهایی بین دندانها میشود. این شکافها باعث افزایش احتمال پوسیدگی و مشکلات دندانی میشوند.
برای جلوگیری از این مشکلات، مهم است که به بهداشت دهان و دندانها دقت کنید و مواد غذایی حاوی کربوهیدرات را به میزان مناسب مصرف کنید. همچنین، مراقبت منظم از دندانها و مراجعه به دندانپزشکی شبانه روزی برای تمیزی و بررسیهای دورهای میتواند به حفظ سلامت دهان و دندانها کمک کند.
معمولا دندانهای چه افرادی دچار سوراخ و شکاف میشود؟
با گذشت زمان و بالا رفتن سن، تغییراتی در دهان ایجاد میشود که بسیاری از افراد فکر میکنند فقط دندانهای کودکان دچار سوراخ میشود، اما این ایده اشتباه است. با پیر شدن، لثهها از دندانها جدا میشوند و احتمال از دست دادن دندان به علت بیماریهای لثه افزایش مییابد. این موضوع ممکن است باعث قرار گرفتن دندانها در معرض پلاک دندان شود.
استفاده بیش از حد از غذاهای پر قند یا پر کربوهیدرات میتواند منجر به سوراخ شدگی دندانها شود. بزرگسالان نیز، هنگام پر کردن دندانهای خود، ممکن است با مشکلات پوسیدگی دندان روبرو شوند. این موضوع به دلیل نادیده گرفتن بهداشت دهان از دوران کودکی و عدم استفاده از خمیر دندان حاوی فلوراید برای بهبود وضعیت دندانها رخ میدهد.
مراحل پر کردن سوراخ روی دندانها
مراحل پر کردن شکاف بین دندانها در دندانپزشکی شبانه روزی به این ترتیب اجرا میشود:
- ابتدا، با استفاده از معاینه و گاهی با رادیوگرافی، میزان آسیب دیدگی دندان و حجم آسیب تعیین میشود.
- سپس، ماده بی حسی تزریق میشود و پس از حصول بی حسی، پوسیدگی برداشته میشود. در صورت وجود سایش یا شکستگی، یک حفره برای قرار گرفتن ماده ترمیمی ایجاد میشود و لبههای شکستگی اگر لزوم داشته باشد، صاف و منظم میشوند.
- گاهی اوقات، آسیب ممکن است باعث از دست رفتن بیش از یک سطح از دندان شود و در این موارد، برای ایجاد فرم صحیح از نوارهای ماتریکس استفاده میشود.
- در مرحله بعدی، انتخاب نوع ماده ترمیمی (آمالگام یا کامپوزیت) تصمیم گیری میشود.
- سپس، پس از تراش و ماتریکسگذاری، ماده پر کردنی درون حفره قرار داده میشود و فرم مناسب برای آن ایجاد میشود.
- گاهی اوقات، قبل از قرار دادن ماده ترمیمی، از موادی به نام بیس و لاینر (برای کف بندی حفره) استفاده میشود و سپس ماده ترمیمی در محل قرار میگیرد.
پس از پایان فرمدهی و سفت شدن ماده ترمیمی، ارتفاع و تماس با دندان مقابل ارزیابی شده و در صورت لزوم اصلاح میشود. سپس، جلسه درمانی به اتمام میرسد.

انواع روشهای پر کردن دندانهای سوراخدار
اگر بیمار با توجه به شرایطش نیاز به پر کردن دندان داشته باشد، گزینههای مختلفی برای انتخاب نوع پر کردن دندان در اختیارش قرار دارد. دندانپزشک با مد نظر داشتن تمامی شرایط مرتبط با وضعیت دندان، هزینه و پوشش بیمه، بهترین گزینه را انتخاب میکند. انواع مواد مختلف پرکردن دندان در ادامه توضیح داده شده است.
تصمیم به انتخاب نوع ماده پرکننده بر اساس میزان پوسیدگی، شرایط دندان و کارایی آن توسط دندانپزشک متخصص و تجربهدار گرفته میشود.
پر کردن شکاف بین دندان ها با کامپوزیت
یکی از دلایلی که موجب پراکندگی استفاده از کامپوزیت در میان مردم شده است، هماهنگی بالای این ماده با رنگ طبیعی دندان است و باعث ایجاد تفاوت زیادی در پر شدن دندان نمیشود. کامپوزیت از لحاظ هزینه مقرون به صرفه است و پس از حدود پنج سال استفاده، به تعویض نیاز دارد. این ماده با وجود مقاومت متوسط نسبت به فلزات، از نظر مقاومت با آمالگام مقایسه میشود و نسبت به طلا به عنوان گزینه مناسبتری محسوب میشود.
برای دندانهای قرار گرفته در جلوی دهان، توصیه بیشتری به پرکردن با کامپوزیت میشود؛ زیرا این ماده با تطابق رنگ دندان، حفاظت قوی حاصل میکند و سوراخهای پر شده با کامپوزیت، بسیار قوی و مقاوم هستند. این مواد سختی بالایی دارند و اگر در شرایط مناسب قرار گیرند، میتوانند چندین سال مقاومت نشان دهند. هرچند هزینه خرید کامپوزیت بیشتر از آمالگام است و زمان درمان با آن پیچیدهتر است، اما با وجود این موارد، مزایای زیادی برای انتخاب این گزینه وجود دارد.
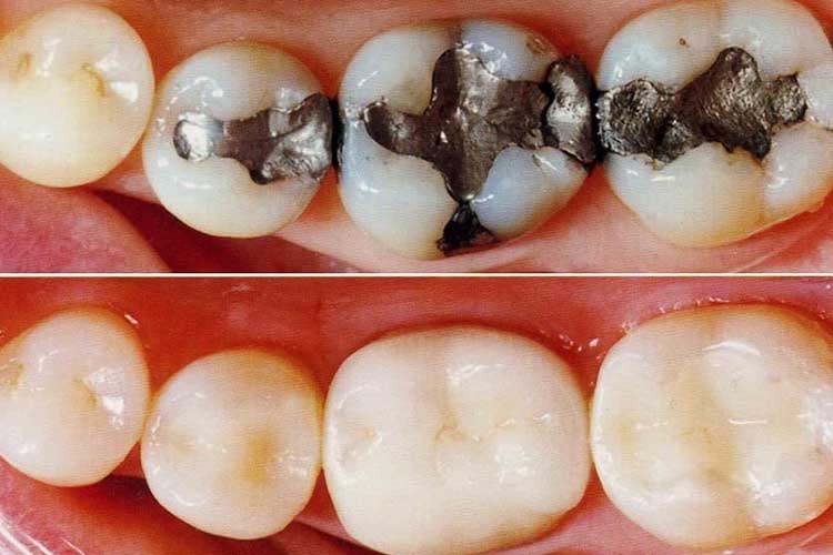
پرکردن شکاف بین دندان ها با آمالگام نقره ای
در صورتی که رنگ آمالگام نقرهای باشد، ممکن است داشتن کیفیتی مشابه جنس طلا را به شما ارائه دهد، اما با هزینه کمتر. این ویژگی میتواند برای بسیاری از افراد جذابیت داشته باشد. با این حال، رنگ آمالگام نقرهای ممکن است برخی افراد را از استفاده از آن در درمان دندان باز دارد. علاوه بر این، انبساط و انقباض آمالگام نقرهای ممکن است منجر به مشکلاتی مثل شکستگی دندان و پوسیدگی شود.
این موارد باعث میشود تا استفاده از آمالگام برای پر کردن دندان، به خصوص در دندانهای قابل مشاهده مانند دندانهای جلو، توصیه نشود. در نهایت، اگرچه هزینه کمتر آمالگام جذابیت دارد، اما اثرات جانبی آن نیز نباید نادیده گرفته شود و در انتخاب مواد دیگر حتما مشورت با دندانپزشک بسیار مهم است.
پر کردن شکاف بین دندان ها با طلا
پر کردن دندان با طلا، یک فرآیند ترمیمی است که در یک جلسه درمانی انجام میشود. این مواد غیرخورنده هستند و معمولا برای دندان هیچ مشکلی ایجاد نمیکنند، همچنین میتوانند تا ۱۵ سال دوام داشته باشند. برخی از افراد، با اینکه آگاهند طلا ممکن است حدود ۱۰ برابر هزینه آمالگام نقره داشته باشد، اما به دلیل ویژگیهای منحصر به فرد و زیبایی آن، ترجیح میدهند دندان خود را با طلا پر کنند.
تصمیم به پر کردن دندان با طلا، نه تنها به علت دوام بالا و عدم ایجاد مشکلات، بلکه به خاطر جذابیت و تأثیر زیبایی طلا نیز انتخاب میشود. این امر ممکن است با افزایش هزینه در مقایسه با سایر گزینهها همراه باشد، اما برخی از افراد ارزش زیبایی و اصالت طلا را در پر کردن دندانهای خود ترجیح میدهند. در نهایت، تصمیم به پر کردن دندان با طلا یک انتخاب شخصی است که نیاز به مشورت با دندانپزشک دارد تا بهترین تصمیم را برای وضعیت دندانی خود انتخاب کنید.
پر کردن شکاف بین دندان ها با مواد سرامیکی
مواد سرامیکی، که اغلب از جنس پرسلن ساخته میشوند، جزء گزینههای زیبا و مقاوم در زمینه ترمیم دندان هستند. این مواد به خوبی در تمامی دندانهای جلویی و حتی دندانهای عقبی قابل استفاده هستند. یکی از ویژگیهای جذاب این مواد، مقاومت زیاد آنها است. در زمان درمان با سرامیک، یک پوشش نیز بر روی آنها قرار میگیرد تا از ناهموار شدن آنها بعد از گذشت زمان جلوگیری شود.
از آنجایی که مواد سرامیکی به علاوه مقاومت، ظاهر زیبا و طبیعی را ارائه میدهند، همچنین این مواد توانایی دارند که هیچ تفاوت قابل مشاهدهای با دندانهای طبیعی نداشته باشند. این خصوصیات باعث میشود که پرکردن دندان با مواد سرامیکی یک گزینه بسیار محبوب و جذاب برای افرادی باشند که هم به دنبال ترمیم دندان خود هستند و هم میخواهند زیبایی بیشتری در لبخند خود داشته باشند.
پر کردن شکاف بین دندان ها با آینومترهای شیشه ای
مواد پرکنندهای که برای دندانهای شیری کودکان استفاده میشوند، اغلب عمر کوتاهی حدود 5 سال دارند و پس از این مدت دوام آنها کاهش مییابد. با این حال، این مواد میتوانند یک گزینه مناسب برای کودکان باشند. به دلیل اینکه ساختمان دندانهای کودکان هنوز در حال تغییر است، این نوع مواد پرکننده میتوانند بهترین تطابق را با دندانهای شیری را فراهم کنند.
یکی از ویژگیهای مثبت این مواد، توانایی تولید فلوراید به میزان معقول است. این ویژگی میتواند به جلوگیری از پوسیدگی دندانهای کودک کمک کند که اهمیت حفظ دندانهای شیری تا زمان مناسب را تأکید میکند. همچنین، این نوع مواد برای پرکردن دندانهای شیری کودکان توصیه میشوند و به عنوان یک گزینه مناسب و مؤثر در مراقبت از دندانهای کوچک ایشان مطرح میشوند.
پر کردن دندان خطر دارد؟
استفاده از مواد مختلف برای پر کردن شکاف بین دندانها اغلب به منظور بهبود جلوگیری از پوسیدگی و حفظ سلامت دندانهاست. تا به امروز، گزارشها نشان میدهد که این مواد برای سلامتی ضرر خاصی نداشتهاند. با این حال، اهمیت استفاده از مواد با کیفیت و متناسب با نیازهای فرد درمان شونده بسیار حائز اهمیت است.
پس از پرکردن دندان، حتما دندانها و دهان خود را به دقت شست و شو دهید. این اقدام نقش مهمی در از بین بردن ترکیبات مضر مواد پر کننده دارد و تا حد زیادی از مشکلات پیشآمده جلوگیری میکند. همچنین، توصیه میشود که بیماران پس از درمان دندان، حداقل ۳۰ دقیقه هیچ ماده غذایی مصرف نکنند تا احتمال وقوع مشکلات کاهش یابد. انتخاب کلینیک مناسب نیز در فرآیند پر کردن دندان بسیار موثر است.
جمعبندی
پر کردن دندانهای سوراخ شده یک روش حیاتی در حفظ سلامت دندانهاست. از جمله روشهای معمول استفاده از کامپوزیت، آمالگام و طلا است. کامپوزیت جذابیت ظاهری و مقاومت داشته ولی عمر کمتری دارد. آمالگام ارزانتر و مقاومت بیشتری دارد. استفاده از طلا نیز به دلیل مقاومت و زیبایی مورد توجه قرار میگیرد. انتخاب روش بهترین نتیجه را با توجه به نیازها و بودجه فرد به همراه خدمات کلینیک معتبر فراهم میکند.


واقعا خیلی جامع وبصورت خیلی،پرمحتوابه طوریکه،ازهرقشرباسواد،درمورد،انواع،پرکردن،وچهوموادی استفاده میشود،توضیح دادند،که خیلی خیلی عالی و کامل بود،ممنون وسپاسگذار از سایت،کسانیکه زحمات این مقاله را کشیدند،موفق وپیروز باشید♥︎
سلام و احترام. باعث افتخار هستش که براتون مفید بوده این مطلب